الإثنين 04 مايو 2026
booked.net
facebook twitter youtube instagram whatsapp rss feed
متن نيوز
متن نيوز
  • احدث الاخبار
  • تلفزيون متن
  • الرياضة
  • السياسة
  • الاقتصاد
  • تقارير وتحقيقات
  • الدراسات والابحاث
  1. الرئيسية
  2. سارة محمد صفحة 22

سارة محمد صفحة 22

الفرق بين التصلب الجانبي الضموري واللويحي.. تعرف على الاختلاف

الفرق بين التصلب الجانبي الضموري واللويحي.. تعرف على الاختلاف

24/May/2023
التصلب اللويحي والبصر.. قد يؤدى إلى فقدان مؤقت

التصلب اللويحي والبصر.. قد يؤدى إلى فقدان مؤقت

24/May/2023
نسبة الشفاء من التصلب اللويحي.. معلومات عن المرض

نسبة الشفاء من التصلب اللويحي.. معلومات عن المرض

24/May/2023
متى يحدث كسل الغدة الدرقية؟.. الاسباب والاعراض

متى يحدث كسل الغدة الدرقية؟.. الاسباب والاعراض

23/May/2023
هل تنميل اليدين خطير.. الاجابة فى هذا التقرير

هل تنميل اليدين خطير.. الاجابة فى هذا التقرير

23/May/2023
أنواع التصلب المتعدد.. المتكرر الانتكاسي أكثرها شيوعا وانتشارا

أنواع التصلب المتعدد.. المتكرر الانتكاسي أكثرها شيوعا وانتشارا

23/May/2023
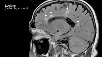
البزل الشوكى والرنين المغناطيسي يسهمان في تشخيص التصلب المتعدد

البزل الشوكى والرنين المغناطيسي يسهمان في تشخيص التصلب المتعدد

23/May/2023
أعراض التصلب المتعدد الحميد.. لماذا يصيب النساء اكثر من الرجال؟

أعراض التصلب المتعدد الحميد.. لماذا يصيب النساء اكثر من الرجال؟

23/May/2023
مشروبات تعالج ارتجاع المريء.. باليانسون وحليب اللوز هدئ معدتك

مشروبات تعالج ارتجاع المريء.. باليانسون وحليب اللوز هدئ معدتك

22/May/2023
أفضل نظام غذائي لارتجاع المريء.. لا تكدس معدتك بالطعام

أفضل نظام غذائي لارتجاع المريء.. لا تكدس معدتك بالطعام

22/May/2023
ما هو الارتجاع المريء الصامت؟.. طبيب يوضح الاعراض

ما هو الارتجاع المريء الصامت؟.. طبيب يوضح الاعراض

22/May/2023
أعراض ارتجاع المريء النفسية.. التوتر والقلق ابرزها

أعراض ارتجاع المريء النفسية.. التوتر والقلق ابرزها

22/May/2023
أسباب ارتجاع المريء.. التدخين عامل رئيسي

أسباب ارتجاع المريء.. التدخين عامل رئيسي

22/May/2023
هل جرثومة المعدة معدية؟.. الاجابة صادمة

هل جرثومة المعدة معدية؟.. الاجابة صادمة

21/May/2023
تعرف على مدة علاج جرثومة المعدة

تعرف على مدة علاج جرثومة المعدة

21/May/2023
علاج جرثومة المعدة في المنزل.. بالحلبة والمستكة وقشر الرمان

علاج جرثومة المعدة في المنزل.. بالحلبة والمستكة وقشر الرمان

21/May/2023
أعراض جرثومة المعدة الخطيرة.. تسبب القرحة الشديدة

أعراض جرثومة المعدة الخطيرة.. تسبب القرحة الشديدة

21/May/2023
اعراض جرثومة المعدة النفسية.. الاكتئاب ابرزها

اعراض جرثومة المعدة النفسية.. الاكتئاب ابرزها

21/May/2023
اسباب القدم السكري.. مرض السكر أولا

اسباب القدم السكري.. مرض السكر أولا

19/May/2023
أساسيات علاج القدم السكري.. بالنظافة والرياضة

أساسيات علاج القدم السكري.. بالنظافة والرياضة

19/May/2023
طرق الوقاية من القدم السكري.. الاحذية المريحة والاقلاع عن التدخين أبرزها

طرق الوقاية من القدم السكري.. الاحذية المريحة والاقلاع عن التدخين أبرزها

19/May/2023
مراحل القدم السكري.. الخامسة اخطرها لا تهمل تماما

مراحل القدم السكري.. الخامسة اخطرها لا تهمل تماما

19/May/2023
أعراض القدم السكري.. التزم بالفحص وتابع طبيبك فورا

أعراض القدم السكري.. التزم بالفحص وتابع طبيبك فورا

19/May/2023
أسباب التهاب اللثة.. اهمال النظافة ابرزها

أسباب التهاب اللثة.. اهمال النظافة ابرزها

18/May/2023
التهاب اللثة والملح.. غسول مفيد لصحة الفم والاسنان

التهاب اللثة والملح.. غسول مفيد لصحة الفم والاسنان

18/May/2023
خلع الضرس للحامل في الشهر الأول.. استشيري طبيبك فورا

خلع الضرس للحامل في الشهر الأول.. استشيري طبيبك فورا

18/May/2023
أنواع التهاب اللثة .. احذر الممارسات اليومية الخاطئة

أنواع التهاب اللثة .. احذر الممارسات اليومية الخاطئة

18/May/2023
علاج التهاب اللثة وانتفاخها في المنزل.. الماء والملح طريقة مجربة

علاج التهاب اللثة وانتفاخها في المنزل.. الماء والملح طريقة مجربة

18/May/2023
تسكين ألم الأسنان الشديد.. طرق منزلية وطبية

تسكين ألم الأسنان الشديد.. طرق منزلية وطبية

16/May/2023
متى يوضع تقويم الأسنان.. متحرك أم ثابت؟

متى يوضع تقويم الأسنان.. متحرك أم ثابت؟

16/May/2023
  • ...
  • 17
  • 18
  • 19
  • 20
  • 21
  • 22
  • 23
  • 24
  • 25
  • 26
  • 27
  • ...
متن نيوز
، هي شبكة إخبارية ناطقة بالعربية تهتم بمستجدات الأحداث العربية والعالمية على مدار الساعة ،وكذلك الأخبار السياسية، والاقتصادية، والثقافية، والرياضية من كافة أنحاء العالم
facebook twitter youtube instagram whatsapp rss feed
احدث الاخبار تلفزيون متن الرياضة السياسة الاقتصاد تقارير وتحقيقات الدراسات والابحاث المقالات الثقافة والفن انفوجراف متن المنوعات الصحة تعليم وتكنولوجيا حوارات

اشترك في النشرة الإخبارية لدينا لمتابعة احدث اخبار شبكة متن الاخبارية للعلوم والتكنولوجيا

© 2021 matnnews.com All Rights Reserved. | sync solutions
متن نيوز
  • الرئيسية
  • احدث الاخبار
  • تلفزيون متن
  • الرياضة
  • السياسة
  • الاقتصاد
  • تقارير وتحقيقات
  • الدراسات والابحاث
  • المقالات
  • الثقافة والفن
  • انفوجراف متن
  • المنوعات
  • الصحة
  • تعليم وتكنولوجيا
  • حوارات
facebook twitter youtube instagram whatsapp rss feed