أنواع التهاب اللثة .. احذر الممارسات اليومية الخاطئة
أنواع التهاب اللثة .. يعتقد الكثيرون أن الهدف الرئيسي من استخدام الفرشاة والمعجون لنظافة الاسنان والعناية بها، هو الوقاية من تسوس الأسنان، ما يجعلهم يستخدمون أخشن الفرش وينحتون أسنانهم، وذلك من باب الخطأ كون هدفهم يكمن في إبقاء أسطح الأسنان نظيفة.
أنواع التهاب اللثة
أنواع التهاب اللثة .. ويتجاهل الناس بتك الممارسات الخاطئة أنسجة مهمة من أنسجة الفم ألا وهي الأنسجة المحيطة بالأسنان أو المعروفة باللثة، وهذا الإهمال قد يؤدي إلى أمراض مختلفة في اللثة مثل تآكلها وانحسارها أو الالتهابات التي قد تؤدي في نهاية المطاف إلى عواقب وخيمة لا يمكن إصلاحها سوى بخلع السن، تفاديا للآلام.
ما هي التهابات اللثة؟
هي مجموعة التهابات تؤثر على الأنسجة المحيطة بالأسنان، والتي تتكون من اللثة والعظم والرباط الداعم للأسنان، وتعتبر السبب الرئيسي لسقوط الأسنان، وتظهر أمراض اللثة في أي عمر، خصوصا في كبار السن، وحسب إحصائيات علمية فإن أكثر من نصف الناس يصابون بالتهاب باللثة في نحو سن العشرين، وأكثر من ثلاثة أرباع الناس يصابون بالتهاب فيها بعد عمر 35 سنة، وهذا يدل على زيادة شيوع تلك الأمراض في الكبار، وهو ناتج عن إهمال نظافة الفم، ما يؤدي إلى تراكم الجير والكلس على الأسنان.
أنواع إلتهابات اللثة
وهناك عدة انواع لالتهابات اللثة منها:
- التهاب اللثة الحاد أو السطحي
- والتهاب اللثة المزمن
- والتهاب اللثة العنيف

أسباب التهابات اللثة
من ابرز وأهم اسباب التهابات اللثة الاسباب التالية:
- عدم تفريش الأسنان اى غسلها بالفرشاة ومعجون الاسنان.
- تكون الجير حول الأسنان.
- الاصابة بمرض السكر.
- سوء التغذية
- ونقص فيتامين سي فى الجسم.
- ومرض هشاشة العظام.
- والتدخين.
- خلال فترة الحمل.
- خلال فترة البلوغ.
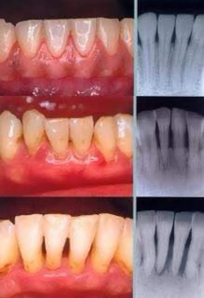
علامات التهابات اللثة
وهناك العديد من العلامات التى تعرف من خلالها اصابتك بالتهابات اللثة ومن ثم المبادرة إلى العناية والعلاج ومنها:
- حدوث نزف اللثة في اثناء الغسل بالفرشاة.
- احمرار لون اللثة.
- تورم وانتفاخ اللثة نتيجة الالتهابات المصاحبة.
- تكون جيوب عميقة حول الاسنان.
- انبعاث روائح كريهة من الفم.
- حدوث تخلخل في الاسنان وتباعدها عن بعضها البعض.
- مع تكون صديد وخراج.
- وجود ألم في الاسنان.
- وجود تغير في أطباق الاسنان.
- خروج صديد على اللثة.
