علاج التهاب اللثة وانتفاخها في المنزل.. الماء والملح طريقة مجربة
علاج التهاب اللثة وانتفاخها في المنزل.. اللثة الملتهبة هى حالة شائعة نسبيًا بين عموم الناس، لكن هناك الكثير من الأشياء الذي يمكن القيام بها في المنزل للمساعدة في تخفيف هذا الالتهاب.
علاج التهاب اللثة وانتفاخها في المنزل
علاج التهاب اللثة وانتفاخها في المنزل.. وإذا ظلت اللثة ملتهبة لمدة أكثر من أسبوع، فيجب عند ذلك تحديد موعد مع طبيب الأسنان لتشخيص السبب الدقيق للتورم والتوصية بخطة علاجية فورية.
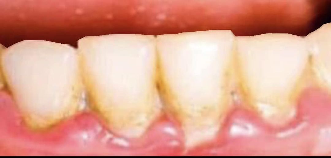
أسباب التهاب اللثة
- هى مشكلة صحية تحدث لعدة أسباب، فقد تكون ناتجة عن تنظيف الأسنان بالفرشاة بقوة أو وجود تقرحات آفة أو ارتداء أطقم الأسنان.
- وبالنسبة للنساء، فقد تكون ناتجة عن التغيرات الهرمونية أو الحمل أو انقطاع الطمث، أو في وقت قريب من الدورة الشهرية.
- وقد يكون التهاب اللثة علامة على مشكلة صحية أكثر خطورة مثل مرض القلاع أو التهاب اللثة أو التهاب دواعم السن.
- وجود عدوى فيروسية أو فطرية
- سوء تغذية
- تركيبات الأسنان أو أجهزة طب الأسنان غير الملائمة
- وجود حمل
- وجود حساسية لمعجون الأسنان
- وجود حساسية لغسول الفم

العلاجات المنزلية لالتهاب اللثة
من ابرز العلاجات المنزلية المؤقتة لالتهاب اللثة ما يلي:
الماء المالح لعلاج التهاب اللثة
حيث إنه يمكن ان يؤدى شطف اللثة بالماء المالح إلى تهدئة التهاب اللثة وتعزيز الشفاء، فقط نخلط ملعقة صغيرة من الملح مع الماء الدافئ الفاتر ثم شطف الفم بهذا المحلول لمدة 30 ثانية وبصقه، مع تكرار ذلك من مرتين إلى ثلاث مرات في اليوم حتى يزول الالتهاب.
الكمادات الدافئة والباردة لعلاج التهاب اللثة
حيث يمكن للكمادات الدافئة والباردة أن تخفف الألم والتورم في اللثة الملتهبة، فقط بعد نقع قطعة قماش نظيفة أو منشفة في ماء دافئ عليك بعصر الماء الزائد، ثم وضع قطعة القماش الدافئة على الوجه، وليس على اللثة لمدة خمس دقائق تقريبًا، أو لف كيسًا من الثلج المجروش في منشفة نظيفة ووضعه على الوجه لمدة خمس دقائق تقريبًا، مع تكرار ذلك من مرتين إلى ثلاث مرات.
جل الكركم لعلاج التهاب اللثة
حيث يحتوي الكركم على مادة لها خصائص مضادة للأكسدة ومضادة للالتهابات، فقط بعد تفريش الأسنان عليك شطف فمك بالماء ثم وضع جل الكركم على اللثة وتركه عشر دقائق، ثم المضمضة للتخلص من الجل وعدم بلعه، مع تكرار تلك الوصفة مرتين في اليوم حتي يزول الالتهاب.
