البزل الشوكى والرنين المغناطيسي يسهمان في تشخيص التصلب المتعدد
تشخيص التصلب المتعدد.. يعتمد تشخيص التصلب المتعدد غالبًا على استبعاد الحالات الأخرى التي قد تسبب ظهور علامات وأعراض مشابهة، أو ما يُعرف بالتشخيص التفريقي، لإنه لا توجد اختبارات محددة لتشخيص مرض التصلب العصبي المتعدد.
تشخيص التصلب المتعدد
تشخيص التصلب المتعدد.. وقد يبدأ الطبيب في قراءة شاملة للتاريخ الطبي وإجراء فحص، حيث قد يوصي ببعض الاجراءات لتشخيص التصلب المتعدد.
اجراءات لتشخيص التصلب المتعدد
وهناك العديد من الاجراءات قد يحتاجها الطبيب من أجل تشخيص مرض التصلب المتعدد نذكر منها:
اختبارات الدم لتشخيص التصلب المتعدد
تساعد اختبارات الدم، في استبعاد أمراض أخرى ذات أعراض مشابهة لمرض التصلب العصبي المتعدد، ويُجري حاليًا اختبارات للتحقق من وجود علامات بيولوجية محددة مرتبطة بمرض التصلب العصبي المتعدد، قد تساعد أيضًا في تشخيص المرض.

البزل الشوكي لتشخيص التصلب المتعدد
وفي هذا الاجراء يتم استئصال عينة صغيرة من السوائل من القناة الشوكية لديك لتحليلها في المعمل، وقد تظهر العينة تشوهات في الأجسام المضادة التي ترتبط بمرض التصلب العصبي المتعدد، كما قد يساعد البزل الشوكي أيضًا على التخلص من العدوى وغيرها من الحالات ذات الأعراض المشابهة لمرض التصلب العصبي المتعدد.
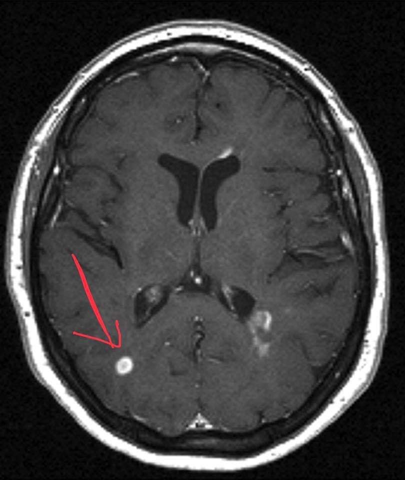
التصوير بالرنين المغناطيسي لتشخيص التصلب المتعدد
حيث يمكن أن يكشف عن مناطق التصلب العصبي المتعدد في الدماغ والحبل الشوكي.
اختبارات الجهد المُثار لتشخيص التصلب المتعدد
وفيها تسجل الإشارات الكهربائية التي ينتجها الجهاز العصبي استجابة للمحفزات، وقد يؤدي اختبار الجهد المُثار إلى استخدام المحفزات البصرية أو المحفزات الكهربائية، التي تشاهد فيها نمط بصري متحرك، أو يتم تطبيق نبضات كهربائية قصيرة على الأعصاب في ساقيك أو ذراعيك، وتقيس الأقطاب مدى سرعة المعلومات التي تنتقل إلى المسارات العصبية لديك.
ولدى معظم الأشخاص الذين يعانون التصلب المتعدد متكرر الإنتكاس، التشخيص يكون واضحًا إلى حد ما، واستنادًا إلى نمط الأعراض التي تتفق مع المرض والتي يتم تأكيدها عن طريق فحوصات التصوير بالدماغ، مثل التصوير بالرنين المغناطيسي.
وقد يكون تشخيص التصلب العصبي المتعدد أكثر صعوبة لدى الأشخاص الذين يعانون أعراضًا غير عادية أو مرضًا تدريجيًا، وفي هذه الحالات، قد تكون هناك حاجة إلى مزيد من الفحوصات مع تحليل سوائل النخاع والجهود المثارة وتصوير إضافي.
