أسباب التهاب اللثة.. اهمال النظافة ابرزها
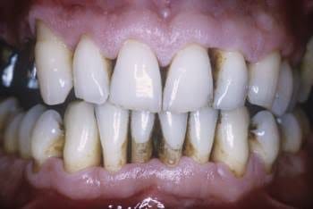
أسباب التهاب اللثة.. التهاب اللثة يتمثل في حدوث تهيج، واحمرار، وتورم فيها، وتتراوح أعراضه من احمرار بسيط إلى ألم حاد قد يمتد إلى الأسنان، ويحدث التهاب اللثة عادة بسبب تراكم طبقة من الرواسب اللزجة أو البكتيريا على الأسنان، وعدم علاج التهاب اللثة قد يتطور إلى التهاب السن، ويمكن أن يؤدي في النهاية إلى جفاف حول الأسنان وفقدان الأسنان.
أسباب التهاب اللثة
أسباب التهاب اللثة.. تشمل دلالات التهاب اللثة، الاحمرار والانتفاخات التي من الممكن أن تنزف بسهولة، وفي الحالات الخفيفة من التهاب اللثة، قد لا يعرف المرضى أنهم مصابون، لأن الأعراض معتدلة، ويمكن أن تعالج بسهولة مع التنظيف الجيد للفم.
أسباب تؤدي لالتهاب اللثة
وهناك جملة من الأمور قد تؤدي إلى التهاب اللثة ومنها:

- البلاك، وهو غشاء بيولوجي يتراكم بشكل طبيعي على الأسنان، وعادةً ما يتكون بفعل البكتيريا التي تحاول التمسك بسطح الأسنان. وقد تساعد هذه البكتيريا في حماية الفم من نمو الكائنات الحية الدقيقة الضارة، لكن يمكن أن تسبب في حال لم يتم تنظيف الأسنان جيدًا تسوس الأسنان، وأمراض اللثة مثل التهاب اللثة الخفيف أو المزمن.
- التغييرات الهرمونية، وهى التي قد تحدث أثناء الحمل، أو البلوغ، أو انقطاع الطمث، أو الحيض، وتجعل اللثة في غاية الحساسية، ما يسهّل تطور التهاب اللثة.
- الإصابة ببعض الأمراض، التي تؤثر على الجهاز المناعي، وتزيد من احتمالية الإصابة بالعدوى مثل السرطان، أو فيروس نقص المناعة البشرية (إيدز)، وكذلك مرض السكر الذي يؤثر على قدرة الجسم على استخدام سكر الدم.
- بعض الأدوية، حيث يمكن أن تؤثر على صحة الفم، نتيجة تقليلها من تدفق اللعاب، الأمر الذي يؤثر بدوره على صحة الأسنان واللثة مثل أدوية علاج الذبحة الصدرية وأدوية الحساسية.
- عدم النظافة، مثل عدم تنظيف الأسنان بالفرشاة والخيط بشكل يومي، فإنه ا تزيد من احتمالية تطور التهاب اللثة.
- التدخين، حيث تزداد فرصة إصابة المدخنين بالتهاب اللثة، مقارنةً بالغير مدخنين.
- العوامل الوراثية، إذ يمكن أن يكون التاريخ العائلي لمرض الأسنان والفم، عاملًا مساهمًا في تطور التهاب اللثة.
- التقدم في العمر، حيث يزداد خطر الإصابة بالتهاب اللثة مع تقدم العمر.
