الأحد 01 فبراير 2026
booked.net
facebook twitter youtube instagram whatsapp rss feed
متن نيوز
متن نيوز
  • احدث الاخبار
  • تلفزيون متن
  • الرياضة
  • السياسة
  • الاقتصاد
  • تقارير وتحقيقات
  • الدراسات والابحاث
  1. الرئيسية
  2. المناخ صفحة 4

المناخ صفحة 4

منها شرب القهوة.. باحثون يحددون بعض السلوكيات التي يقوم بها الناس في حياتهم اليومية

منها شرب القهوة.. باحثون يحددون بعض السلوكيات التي يقوم بها الناس في حياتهم اليومية

27/April/2022
تقرير: العالم سيواجه 560 كارثة سنويًا بحلول عام 2030

تقرير: العالم سيواجه 560 كارثة سنويًا بحلول عام 2030

26/April/2022
عاجل.. بدء التصويت في الجولة الثانية من الانتخابات الرئاسية الفرنسية صباح اليوم الأحد

عاجل.. بدء التصويت في الجولة الثانية من الانتخابات الرئاسية الفرنسية صباح اليوم الأحد

24/April/2022
الأمم المتحدة تحذر من كارثة يتعرض لها كوكب الأرض

الأمم المتحدة تحذر من كارثة يتعرض لها كوكب الأرض

22/April/2022
وسط تداعيات الحرب الأوكرانية... أبرز تصريحات جون كيري حول

وسط تداعيات الحرب الأوكرانية... أبرز تصريحات جون كيري حول "بوتين"

13/April/2022
 الأمم المتحدة توجه مجموعة من الرسائل بشأن التغيرات المناخية

الأمم المتحدة توجه مجموعة من الرسائل بشأن التغيرات المناخية

05/April/2022
وكالة بلومبرغ: تحالف أوبك بلس

وكالة بلومبرغ: تحالف أوبك بلس "سيتوقف عن استخدام بيانات الوكالة الدولية للطاقة

31/March/2022
 وزير الطاقة السعودي: لولا

وزير الطاقة السعودي: لولا "أوبك+" لما كنا نحتفل بسوق مستدامة للطاقة على الرغم من التقلبات الحالية

29/March/2022
الرئيس الأمريكي جو بايدن يريد فرض ضريبة على المليارديرات

الرئيس الأمريكي جو بايدن يريد فرض ضريبة على المليارديرات

27/March/2022
كل ما تريد معرفته حول التشغيل التجاري للمحطة الثانية في براكة.. أهميته

كل ما تريد معرفته حول التشغيل التجاري للمحطة الثانية في براكة.. أهميته

24/March/2022
الجزائر.. زلزال بقوة 5.5 درجة يضرب شرق البلاد

الجزائر.. زلزال بقوة 5.5 درجة يضرب شرق البلاد

19/March/2022
 توقيع مذكرة تفاهم لتصنيع القوارب الطائرة للمرة الأولى في الإمارات

توقيع مذكرة تفاهم لتصنيع القوارب الطائرة للمرة الأولى في الإمارات

12/March/2022
دراسة جديدة: غابات الأمازون المطيرة تقترب من

دراسة جديدة: غابات الأمازون المطيرة تقترب من "نقطة تحول"

08/March/2022
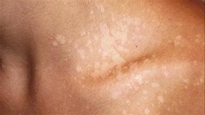
ما هي العوامل التي تهدد بالإصابة بمرض

ما هي العوامل التي تهدد بالإصابة بمرض "النخالية المبرقشة"؟

01/March/2022
جناح الهيئة في إكسبو 2020 دبي يستقطب 547،493 زائرًا منذ انطلاق المعرض العالمي

جناح الهيئة في إكسبو 2020 دبي يستقطب 547،493 زائرًا منذ انطلاق المعرض العالمي

01/March/2022
ما وراء ظاهرة اختفاء النحل بالمغرب؟

ما وراء ظاهرة اختفاء النحل بالمغرب؟

26/February/2022
 العواصف والفيضانات تتسبب في أضرار اقتصادية بنحو نصف تريليون يورو في أوروبا

العواصف والفيضانات تتسبب في أضرار اقتصادية بنحو نصف تريليون يورو في أوروبا

03/February/2022
منظمة الصحة العالمية تحذر من مخاطر العمل عن بعد

منظمة الصحة العالمية تحذر من مخاطر العمل عن بعد

02/February/2022
إرتفاع المياة بالمحيطات 1.2 سنتيمترا بسبب ذوبان جليد جرينلاند

إرتفاع المياة بالمحيطات 1.2 سنتيمترا بسبب ذوبان جليد جرينلاند

02/February/2022
  • 1
  • 2
  • 3
  • 4
متن نيوز
، هي شبكة إخبارية ناطقة بالعربية تهتم بمستجدات الأحداث العربية والعالمية على مدار الساعة ،وكذلك الأخبار السياسية، والاقتصادية، والثقافية، والرياضية من كافة أنحاء العالم
facebook twitter youtube instagram whatsapp rss feed
احدث الاخبار تلفزيون متن الرياضة السياسة الاقتصاد تقارير وتحقيقات الدراسات والابحاث المقالات الثقافة والفن انفوجراف متن المنوعات الصحة تعليم وتكنولوجيا حوارات

اشترك في النشرة الإخبارية لدينا لمتابعة احدث اخبار شبكة متن الاخبارية للعلوم والتكنولوجيا

© 2021 matnnews.com All Rights Reserved. | sync solutions
متن نيوز
  • الرئيسية
  • احدث الاخبار
  • تلفزيون متن
  • الرياضة
  • السياسة
  • الاقتصاد
  • تقارير وتحقيقات
  • الدراسات والابحاث
  • المقالات
  • الثقافة والفن
  • انفوجراف متن
  • المنوعات
  • الصحة
  • تعليم وتكنولوجيا
  • حوارات
facebook twitter youtube instagram whatsapp rss feed