اللثة الصحية واللثة غير الصحية.. كيف تفرق بينهما
اللثة الصحية أو السليمة تدعم الأسنان وتحميها من البكتيريا، بينما تتطور اللثة غير السليمة نتيجة سوء نظافة الفم واتباع عادات صحية سيئة، مما يؤدي إلى تراكم البكتيريا والبلاك، والبلاك هو طبقة لزجة على الأسنان، وعندما يتراكم، يمكن أن يتصلب ليشكل الجير، مما يؤدي إلى إتلاف الأسنان والالتهابات، مما يؤدي إلى أمراض اللثة أو دواعم الأسنان.
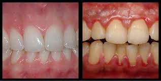
اللثة الصحية واللثة غير الصحية
يسبب التهاب اللثة تورمًا ونزيفًا نتيجة ابتعاد اللثة عن الأسنان، والتهاب دواعم السن هو شكل حاد من التهاب اللثة، قد يجعل المضغ مؤلمًا ويؤدي إلى تخلخل الأسنان الذي قد يتساقط في النهاية.
غالبًا ما تكون اللثة السليمة شاحبة أو وردية اللون، وقد تكون أغمق أو أكثر احمرارًا حسب العرق، كما أنها تتميز بملمس ناعم وتحيط جيدًا بالأسنان، دون أي جيوب ظاهرة وغالبًا ما تحتوي اللثة السليمة على أخاديد صغيرة سطحية منقطة تشبه قشر البرتقال.

اللثة غير الصحية تكون أكثر ارتخاءً ودكانةً من اللثة السليمة، وفي حالات التهاب اللثة الخفيف، قد يصبح لون اللثة داكنًا وأكثر احمرارًا، وقد تتورم وتنزف، وقد تتطور القروح مع تفاقم الحالة، ومع انفصال اللثة عن الأسنان بسبب التهاب دواعم السن، قد تبدو الأسنان أطول في هذه المرحلة، يمكنك ملاحظة تكوّن جيوب، وفي حالات التهاب دواعم السن الشديد، تنحسر اللثة أسفل خط اللثة، كاشفةً عن جذور الأسنان.
مراحل أمراض اللثة
مرض اللثة حالة مزمنة تتطور مع مرور الوقت وبدون علاج، يستمر المرض في التفاقم، ويتحول من التهاب اللثة إلى التهاب دواعم السن.
- التهاب اللثة: المرحلة المبكرة من مرض اللثة، مع تراكم البلاك والبكتيريا، تلتهب اللثة في هذه المرحلة، تُصاب اللثة بالعدوى، لكن ثبات الأسنان يبقى ثابتًا، ومع العناية بنظافة الفم والعلاج المناسبين، يُمكن الشفاء تمامًا من التهاب اللثة.
- التهاب دواعم السن: هو مرض لثة متقدم، حيث تتعمق العدوى وتنتشر، ويُسبب تلفًا دائمًا في اللثة والعظام، مما يؤدي إلى تخلخل الأسنان.
علامات أمراض اللثة
في المراحل المبكرة من التهاب اللثة، قد لا تشعر بأي تغيير في لثتك بالإضافة إلى تغيرات المظهر، تشمل العلامات الإضافية ما يلي:
- نزيف اللثة: أول أعراض التهاب اللثة هو النزيف عند تنظيف الأسنان بالفرشاة أو خيط الأسنان، وقد يُسبب هذا أيضًا طعمًا معدنيًا في الفم.
- الحساسية والألم: الحساسية للساخن أو البارد أو اللمس والألم عند المضغ أو العض هي علامات على أن اللثة تبتعد عن الأسنان.
- ألم وتخلخل الأسنان: تصبح اللثة مؤلمة أو حساسة مع تقدم مرض اللثة، وقد تنفصل الأسنان عن اللثة أو تبدأ بالاهتزاز.
- تغيرات في العض: مع تآكل أنسجة اللثة والعظم الذي يحيط بها، ترتخي الأسنان وتغير مواقعها، هذا يُسبب اختلافات في طريقة تلامس الأسنان، فإذا كنت تستخدم طقم أسنان اصطناعيًا، فقد لا يكون مناسبًا تمامًا.
- رائحة الفم الكريهة المزمنة: تُعدّ رائحة الفم الكريهة طويلة الأمد، والتي تُسمى برائحة الفم الكريهة، علامة أخرى على أمراض اللثة، وقد يصاحب هذا العرض طعم غير مستساغ في الفم.
الأسباب والعوامل المساهمة في اللثة غير الصحية
هناك مجموعة واسعة من العوامل الصحية التي قد تؤدي إلى مشاكل في اللثة، وتشمل هذه العوامل تراكم البلاك، وبعض عادات نمط الحياة، والعوامل الصحية، والجينات، والأمراض.
تراكم البلاك والجير
يحدث مرض اللثة بشكل رئيسي بسبب تراكم البلاك المتصلب، أو الجير، والبلاك هو طبقة لزجة طبيعية من البكتيريا على الأسنان تتغذى على ما تأكله وتشربه ويمكن إزالته بالفرشاة والخيط بانتظام.
عادات نمط الحياة
قد تؤثر بعض أنماط الحياة على صحة فمك وأسنانك، مما يزيد من احتمالية إصابتك بأمراض اللثة ومن هذه الخيارات التدخين والعادات الغذائية الخاطئة، حيث يمكن أن يؤدي تدخين التبغ إلى جفاف الفم وعندما لا يكون هناك ما يكفي من اللعاب، تتراكم البلاك والجير بسهولة أكبر.
العوامل والظروف الصحية
إذا كنت تعاني من أي من الحالات الصحية أو عوامل الخطر التالية، فقد يكون لديك خطر أكبر للإصابة بأمراض اللثة:
- داء السكري: يؤثر هذا على قدرتك على تكسير السكريات فعندما يرتفع مستوى الجلوكوز في الدم، وقد يؤدي ذلك إلى ارتفاع مستويات السكر في الفم، حيث تتغذى البكتيريا في الفم على هذه السكريات، مما يؤدي إلى تكوّن البلاك والجير وأمراض اللثة.
- التغيرات الهرمونية: لدى الإناث، تؤثر التغيرات في الهرمونات الجنسية، وخاصةً الأستروجين والبروجسترون، على صحة اللثة. تُحفّز هذه الهرمونات تدفق الدم، مما يجعل اللثة أكثر حساسية للبكتيريا، وقد تُؤدي تقلبات الهرمونات خلال فترة البلوغ، أو قبل الدورة الشهرية، أو الحمل إلى التهاب اللثة، كما يُمكن أن يُسبب انخفاض مستويات الهرمونات بسبب انقطاع الطمث جفاف الفم، مما يزيد من خطر الإصابة.
- التوتر: قد يقلل التوتر من اهتمامك بأسنانك كما يؤثر على جهازك المناعي، ونشاط اللعاب، والدورة الدموية في اللثة، مما يزيد من خطر الإصابة بأمراض اللثة.
- الجينات: إن وجود تاريخ عائلي للإصابة بأمراض اللثة يزيد من فرص إصابتك بهذه الحالة بنحو 30-50%.
- السمنة: تشير الأبحاث إلى أن الأشخاص الذين يعانون من السمنة أو زيادة الوزن أكثر عرضة للإصابة بالتهاب اللثة والتهاب دواعم الأسنان، ويرجع ذلك إلى أن الخلايا الدهنية تُنتج مواد قد تؤدي إلى التهاب اللثة وتدهور صحتها.
وأخيرا يجب التنويه بأن اللثة السليمة صلبة ووردية اللون ومتماسكة، بينما يُسبب مرض اللثة المبكر تورمًا ونزيفًا ورائحة فم كريهة، وإذا تفاقم مرض اللثة، تبدأ اللثة والأنسجة المحيطة بالأسنان بالتآكل، مما يؤثر على ثباتها، وإذا تُرك دون علاج، فقد يُسبب فقدان الأسنان وتلفًا دائمًا للعظام التي تحتها، وتُعد نظافة الفم الجيدة، واتباع عادات صحية معينة، والعناية بالأسنان بانتظام، من أهم الطرق للوقاية من أمراض اللثة.


