ما أسباب تفتت الأسنان؟.. طرق العلاج ممكنة
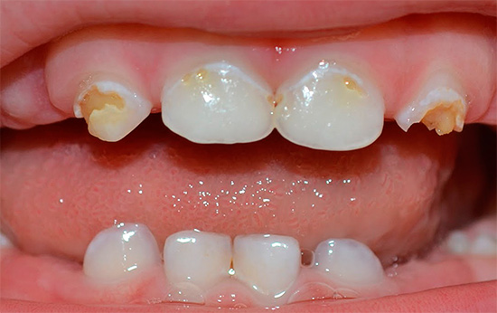
ما أسباب تفتت الأسنان؟.. يشكو البعض من ضعف وتكسر أسنانهم فجاة ودون سبب واضح فيما يعرف بتفتت الأسنان، ما يسبب مشكلة نفسية وصحية تستوجب معرفة سببها وعلاجها.
ما أسباب تفتت الأسنان؟
ما أسباب تفتت الأسنان؟.. ويوضح أخصائيو جراحة الفم والأسنان، أن هناك العديد من الأسباب التي تؤدي لتفتت الأسنان، وعادة ما تشمل ما يلي:
- التعرض لضربة قوية في الأسنان.
- بسبب التعرض لسقوط قوي أو حادث شديد اثناء قيادة أو ركوب السيارة.
- قد يرجع السبب لاحتكاك الأسنان مع بعضها لا سيما أثناء النوم.
- من الوارد أن يعود السبب لتناول أشياء صلبة ومحاولة كسرها بالأسنان.
- نتيجة عدم الاهتمام بعلاج تسوس الأسنان أو ترك الحشوات القديمة دون الاهتمام بفحصها لفترة طويلة، مما يسفر عن هشاشة الأسنان وتعرضها للتفتت.
- بسبب استعمال فرشاة أسنان ذات شعيرات قاسية.
- عند الإفراط في تناول الأطعمة الحمضية ومنها: الليمون أو كثرة شرب القهوة، ما يتنسبب في تآكل طبقة مينا الأسنان؛ فيحدث لها تفتت.
- في بعض الحالات تتسبب الإصابة ببعض أمراض المعدة ومنها: ارتداد بالحمض أو حرقة المعدة إلى وصول الحمض إلى الفم؛ ما قد ينتج عنه تآكل طبقة مينا الأسنان.
- كذلك من المحتمل أن تناول الكحوليات بشكل مفرط يتسبب في المعاناة من التقيء المستمر؛ وهو ما قد يسفر عن وجود الحمض في الفم ومن ثم تتآكل طبقة المينا فيحدث التفتت.
- كذلك قد يرجع السبب لعمر المريض؛ إذ أن الأشخاص الذين تزيد أعمارهم عن خمسين عامًا عادة ما يكونون أكثر عرضة لضعف طبقة مينا الأسنان ومن ثم يتعرضون لتفتت الأسنان.

هل يمكن أن تعود طبقة المينا؟
وللإجابة عن سؤال هل يمكن أن تعود طبقة المينا؟، يؤكد أخصائيو جراحة الفم والأسنان، أنه ليس من الممكن أن نعيد بناء المينا على الأسنان، الا إنه يمكننا أن نتجنّب حدوث تآكلها عن طريق الاهتمام بالأسنان ونظافة الفم الجيّدة.
علاج تفتت الأسنان
وعن علاج تفتت الأسنان، فيجب زيارة طبيب الأسنان عقب تفتت السن أو الضرس مباشرة؛ من أجل تقييم الحالة، ومعالجة السن بالشكل الصحيح؛ لأن إهمال تفتت الأسنان وعدم علاجها عادة ما يسبب تلفًا أكبر فيها، ومن المحتمل أن ينتج عنه خسارة السن وخلعه بشكل كلي.
ومن أبرز طرق علاج تفتت الأسنان، ما يلي:
برد وتنعيم السن
عادة ما يتم اللجوء لبرد السن وتنعيمه في حال التفتت البسيط للغاية، وإذا كانت القطعة المكسورة صغيرة، إذ يقوم الطبيب ببرد السن وتنعيم سطحه فقط؛ حتى لا يسبب السن المكسور حدوث جرحًا في اللسان أو الخدود من الداخل.
إعادة تركيب القطعة المكسورة
وفي حال كان المريض يحتفظ بالقطعة المكسورة من السن فعليه أن يضعها في كوب حليب لكي تبقي رطبة ويأخذها معه إلى طبيب الأسنان، إذ أنه في كثير من الحالات يمكن للطبيب أن يركب القطعة المكسورة مرة أخرى عن طريق لصقها بالسن من خلال استعمال مادة لاصقة قوية.
ترميم السن من خلال حشوات الأسنان
كما يمكن أن يستعمل الطبيب حشوة السن المركبة أو حشوة الكومبوزيت من أجل ترميم السن، ويتم ذلك عن طريق وضع الحشوة على السن وتشكيلها بما يلائم شكل السن، ثم يقوم باستخدام أشعة فوق بنفسجية؛ لتجفيف الحشوة فتصبح صلبة، ومن ثم تلتصق لالسن، فحشوات الأسنان ثد تستمر لمدة حوالي عشر سنوات.

تركيب فينير للأسنان
يكون فينير الأسنان عبارة عن طبقة رقيقة أو قشور تصنع من البورسلان ويتم وضعها على الجزء الأمامي من السن لكي يتم تغطيته وجعله أجمل، فيقوم الطبيب ببرد السن قليلًا، ويأخذ قياساته، وترسل إلى مختبر طبي من أجل تصميم القشرة المخصصة للسن، ويتم تركيب هذه القشور للمريض في زيارة تالية، ثم يتأكد الطلبيب أنها تلائم حجم الفم والابتسامة، وقد تستمر قشور الفينيرلمدة تصل إلى حوالي 30 سنة أو أكثر من ذلك.
تركيب تيجان سنية "التلبيسة"
وفي حال كان الكسر بالأسنان كبيرًا، أو كان السن مسوسًا للغاية سيقوم الطبيب بحفير السن وبرده ؛ لكي يزيل كافة الأماكن المتفتتة والمتكسرة أو المتسوسة، ثم يركب تاج أو غطاء خارجي له نفس شكل السن يطلرق عليه تاجًا، لكي يحمي السن من أن يتكسر أكثر.
سحب العصب
أما في حال كانت المعاناة من تفتت الأسنان ترجع للتسوس الشديدً، وكان هذا التسوس قد وصل إلى جذر السن والأعصاب الموجودة تحته، وهنا يقوم الطبيب بسحب العصب، الذي يتصمن ما يلي:
- التخلص من تسوس السن تمامًا وإجراء ثقب يصل للأنسجة التي توجد بجذر السن.
- وأيضًا يتم استئصال الأنسجة اللينة الموجودة أسفل السن ومنها: الأعصاب وغيرها.
- فضلًا عن تنظيف القناة المحفورة بشكل جيد من خلال استخدام محاليل معقمة عقب التأكد من كونها تخلو من الجراثيم أو التسوس.
- أو كذلك يتم إغلاق الثقب من خلال حشوات الأسنان.
- وأخيرًا، قد يتم تركيب تاج على السن لحمايته من التلف؛ إذ أن السن بعد سحب العصب يصبح أضعف من ذي قبل.
