أسباب قرحة اللثة الحادة.. اهمال النظافة عامل اساسي
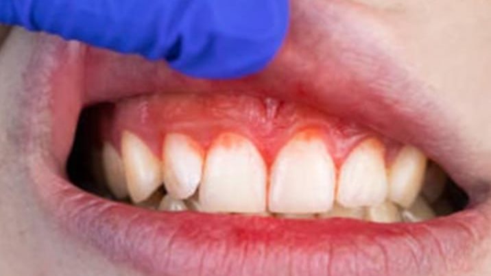
أسباب قرحة اللثة الحادة.. ينتيج التهاب اللثة التقرحي الحاد عن تعرض اللثة لالتهاب قد يتسبب في تراكم الأنسجة الميتة فوق اللثة؛ ما يسفرعن تكوّن نسيج أسود أو رمادي، وربما تتكون تقرحات على حواف الأسنان.
أسباب قرحة اللثة الحادة
أسباب قرحة اللثة الحادة.. ويشير الاطباء إلى أن تلك الحالة عادة ما تحدث نتيجة تكاثر البكتيريا في فم المريض؛ نتيجة للأسباب التالية:
- اهمال المريض نظافة فمه واسنانه.
- بسبب التعب والإجهاد المستمر.
- بسبب قلة النوم.
- اتباع نظام غذائي غير صحي وغير متوازن.
ما شكل اللثة الملتهبة؟
وعن كيف يكون شكل اللثة الملتهبة؟، يذكر أطباء الفم والأسنان، أن هناك عدة أعراض تشير إلى الإصابة بالتهاب اللثة، من أبرزها ما يلي:
- التعرض لحدوث نزيف باللثة.
- أو في حال ملاحظة انبعاث رائحة كريهة من الفم.
- أو عند زيادة إنتاج اللعاب بالفم.
- وكذلك في حال الاحساس بالغثيان.

متى يكون التهاب اللثة خطير؟
وبخصوص سؤال متى يكون التهاب اللثة خطير؟، ينبه الدكتور محمد خوجه، إلى خطورة التهاب اللثة في حال ملاحظة المريض حدوث الأعراض التالية، ومنها:
- في حال احمرار وانتفاخ اللثة.
- أو عند حدوث نزيف اللثة المتكرر نتيجة لأسباب بسيطة، كتنظيف الأسنان.
- أو أيضا في حال ملاحظة وجود رائحة كريهة بالفم وعدم زوالها زول حتى عقب تنظيف الأسنان.
- وأخيرا في حال ظهور بقع بيضاء أو لطخات على اللثة.
كم يستغرق علاج اللثة الملتهبة؟
وجول سؤال كم يستغرق علاج اللثة الملتهبة؟، يذكر الدكتور محمد عبدالهادى خوجه، أن مدة علاج التهاب اللثة عادة ما تختلف من مريض لآخر، حسب شدة الحالة ونوعية العلاج المستخدم، لافتُا إلى علاج التهاب اللثة عادة ما يتم من قِبل طبيب الأسنان عن طريق تنظيف الأسنان ووصف المضادات الحيوية التي تفيد في التخلص من العدوى، وقد يستمر العلاج من أيام إلى عدة أشهر، وذلك في الحالات الشديدة.
متى تكون قرح الفم علامة على الإصابة بمرض خطير؟
وتقرحات الفم ليست معدية وعادة ما تزول في غضون أسبوع أو أسبوعين. ومع ذلك، إذا كنت تعاني من قرحة في الفم كبيرة أو مؤلمة للغاية، أو إذا استمرت لفترة طويلة دون أن تلتئم، فاطلب المشورة من الطبيب.
