التقويم الشفاف أو المعدني أيهما أفضل؟.. مميزات وعيوب
التقويم الشفاف أو المعدني أيهما أفضل؟.. سؤال يحير كثير من الناس في الاختيار ممن يحتاجون عمل تقويم للأسنان، ولكن يجب استشارة الطبيب المختص في حال اختيار نوع التقويم المناسب للمريض سواء الشفاف أو المعدني، لتحديد أيهما الأنسب لحالة الشخص ويلائم احتياجاته اليومية.
التقويم الشفاف أو المعدني أيهما أفضل؟
التقويم الشفاف أو المعدني أيهما أفضل؟.. ويقول أخصائيو الأسنان، أنه لا يمكن تفضيل أحد النوعين على الآخر؛ فرغم أن العديد من الأشخاص يفضلون التقويم الشفاف؛ إذ أنه لا يؤثر على المنظر الجمالي، فضلًا عن كونه فعال في معالجة مشاكل الأسنان البسيطة، لكن التقويم المعدني هو الأسرع لعلاج المشكلة، كما أنه مناسب لحل كافة المشكلات البسيطة والمعقدة، ففلي حال إجراء تعديلات أساسية بالأسنان وعمل تحريك كبير لموضعها يكون التقويم المعدني هو الحل الوحيد المتاح أمام المريض، ولا يمكنه اختيار النوع الآخر.
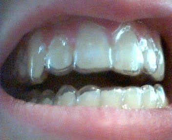
ما فوائد التقويم الشفاف؟
وعن فوائد التقويم الشفاف، يشير أخصائيو الأسنان، إلى أن هناك عدة مميزات للتقويم الشفاف ومنها:
ان التقويم الشفاف أكثر راحة في الاستخدام مقارنة بالمعدني؛ إذ لا يسبب الاحتكاك مع باطن الفم؛ لأن المادة المصنوع منها التقويم الشفاف تكون لينة وغير حادة مثل المادة التي يصنع منها التقويم المعدني.
أنه مع التقويم الشفاف فليس هناك أى محاذير لتناول الطعام، ولكن نقوم فقط بإزالة قالب التقويم وتناول الطعام، ثم تنظيف الأسنان والقالب، وارتداءه مرة أخرى.
أنه يمكن تنظيف الأسنان بالفرشاة أو الخيط بكل سهولة عقب إزالة قالب التقويم الشفاف.
التقويم الشفاف يمنح مظهرًا مقبولًا للمرضى؛ فهو شفاف ورقيق، ما يعطي يعطي شعورًا كبيرًا بالراحة.

ما سلبيات التقويم الشفاف؟
وعن سلبيات التقويم الشفاف، فهناك عدة عيوب في حال استخدام التقويم الشفاف، تتضمن:
- طول مدة العلاج، التي قد تنتج عادة عن عدم التزام المرضى بعدد الساعات الموصى بها، أو بسبب نسيان وضع القالب عقب تنظيف الأسنان أو كذلك نتيجة تناول الطعام.
- أن نجاح التقويم الشفاف يعتمد على مدى التزام المريض باستخدامه تبعًا لإرشادات الطبيب المعالج؛ فيجب أن يتم ارتدؤه مدة لا تقل عن 22 ساعة خلال اليوم.
- يعد التقويم الشفاف أغلى فى التكلفة نسبيًا إذا ما قورن بالتقويم المعدني، ولكن التكلفة عادة ما تتوقف على طبيعة حالة المريض.
- التقويم الشفاف لا يناسب الحالات المعقدة.
- وهناك ضرورة لزيارة طبيب الأسنان بشكل منتظم في حال استخدام التقويم المعدني أوالشفاف، بما يعادل مرة واحدة بالشهر للتقويم المعدني، ومرة كل 4-6 أسابيع للتقويم الشفاف، وعقب الانتهاء من فترة العلاج من كلا النوعين، سيقدم طبيب الأسنان للمريض قالبًا مؤقتًا لكي يرتديه أثناء الليل فقط ؛ للتأكد من ثبات الأسنان بموضعها الصحيح.
