فوائد تقويم الأسنان.. تحسين القدرة على الكلام
فوائد تقويم الأسنان.. مع التطور الذي شهده تخصص طب الأسنان، ظهرت أنواع مختلفة من تقويم الأسنان لتقوم بوظيفتها ولكن مع الحفاظ على الشكل الجمالي للابتسامة.
فوائد تقويم الأسنان
فوائد تقويم الأسنان.. وتقويم الأسنان هو جهاز يُستخدم تستخدم لمحاذاة الأسنان أو توجيهها إلى الوضع الصحيح، وهي مكونة من أسلاك وأقواس وشرائط، ويعمل تقويم الأسنان عن طريق وضع المشابك على الأسنان وربطها بسلك، يتم ربط السلك بالأقواس باستخدام أربطة مرنة، كما إنه يساعد على تصحيح وضع الأسنان غير المنتظم، وتصحيح الفك، وتحسين مظهر الابتسامة، ويعمل من خلال الضغط على الأسنان ببطء لمحاذاة الأسنان والحصول على تطابق للفكين.
ويمكن صنع التقويم من السيراميك أو البلاستيك أو المعادن أو مزيج من تلك المواد ويمكن أيضًا أن تكون ملونة لتضفي شكلًا جماليًا.
أسباب الحاجة إلى تقويم الأسنان
استخدام التقويم لا يقتصر على علاج بروز الأسنان فقط، وتقويم الأسنان يعالج عديد من المشكلات على رأسها:
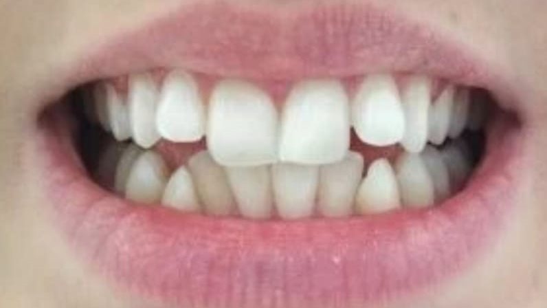
- المسافات الزائدة بين الأسنان.
- بروز الأسنان الأمامية.
- ازدحام الأسنان.
- الأسنان والضروس الدائمة المدفونة.
- الأسنان المعوجة.
- عدم إطباق الأسنان بصورة سليمة.

ماهي فوائد تقويم الأسنان؟
يساعد استخدام تقويم الأسنان على:
- تعزيز صحة الأسنان واللثة على المدى البعيد.
- تحسين القدرة على الكلام وزيادة وضوح مخارج الحروف أثناء الكلام.
- حماية الأسنان من التآكل الناجم عن عدم توزيع قوة المضغ نتيجة ميل أو تزاحم الأسنان.
- تحسين المظهر الجمالي.
- زيادة ثقة المريض في ذاته.
- تحسين قدرة الأسنان على مضغ وتقطيع الطعام.
- تقليل نسبة تسوس الأسنان الذي قد ينتج عن تراكم بقايا الطعام بين الأسنان المعوجة وعدم القدرة على تفريشها والوصول إليها.
- الحفاظ على صحة اللثة.
لماذا نحتاج تقويم الأسنان؟
يحتاج الطبيب المختص إلى الاستعانة بالعديد من طرق التشخيص، قبل وضع الخطة العلاجية واختيار التقويم كوسيلة العلاج، ويمكن للطبيب معرفة ما إذا كان هذا المريض يحتاج إلى تقويم الأسنان من خلال التالي:
- معرفة التاريخ المريض الطبي، وزيارات طبيب الأسنان السابقة.
- معرفة إذا كان المريض يعاني من أي عادات غير صحيحة مثل عادة مص الأصابع، أو التنفس عبر الفم.
- فحص منطقة الفم، واللثة، والفك.
- تصوير أنواع مختلفة من أفلام الأشعة.
- تصنيع قالب من الجبس، يحاكي شكل الفكين والعلاقة بينهما لدراسته.
- وإذا كنت تعاني من المشكلات التالية فقد تحتاج إلى طبيب أسنان:
- فقدان الأسنان في وقت مبكر.
- صعوبة في العض.
- بروز الفك العلوي.
- انحراف الأسنان واعوجاجها.
- وجود مساحة كبيرة جدًا بين الأسنان.
- صرير الأسنان.
