مراحل داء الساركويد وطرق العلاج
مراحل داء الساركويد وطرق العلاج.. من المعروف طبيا ان داء الساركويد هو عبارة عن مرض مناعي مجهول السبب يظهر على هيئة مجموعات غير طبيعية من الخلايا الالتهابية الحبيبية والتي يمكن أن تشكل عقيدات في أعضاء عدة.
مراحل داء الساركويد وطرق العلاج
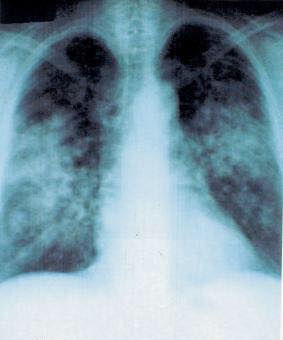
مراحل داء الساركويد.. وعادة ما يتم التشخيص داء الساركويد بأخذ التاريخ المرضي واجراء الفحص السريري وعمل أشعة الصدر التي قد تحدد نوعية المرض وشدته، ويعد فحص الأشعة المقطعيه من الفحوصات المهمة للمساعده في تشخيص الحالة ومقدار تأثر الرئة والغدد الليمفاوية.
وبعد اكتشاف الساركويد، تم وصف حالات إصابة عديدة لها علاقة بمرض الساركويد في أنسجة الأعضاء التالية: الرئتين، الجلد، العينين، العظام، الغدد اللعابية، العقد اللمفاوية، الكبد، الطحال، الجهاز العصبي المركزي، القلب، المفاصل، الكلى والجهاز الهضمي.
مراحل الساركويد
ينقسم الساركويد إلى أربعة مراحل تبعا لمقدار تأثر الرئتين والغدد الليمفاوية نوردها كالتالي:
- المرحلة الأولى، وهى عبارة عن تورم في الغدد الليمفاوية الرئوية.

- المرحلة الثانية، وهى تورم في الغدد الليمفاوية الرئوية والتهاب تليفي في الرئتين.
- المرحلة الثالثة، وهي التهاب تليفي في الرئتين.
- المرحلة الرابعة وهي تليف في الرئتين.
وغالبا ما يستلزم التحقق من التشخيص عن طريق أخذ عينه من العضو المصاب إما عن طريق الحقن أو جراحيا.
وتساعد الفحوصات الأخرى مثل الدم والبلغم الطبيب في استبعاد بعض الأمراض التي قد تتشابه مع الساركويد في التاريخ المرضي والفحص السريري كمرض الدرن وأورام الغدد الليمفاوية.
الدلائل الأساسية للمرض والتي تظهر لدى تصوير الصدر هي اتساع بوابات الرئتين بواسطة العقيدات اللمفاوية، وكذلك حدوث إرتشاح طفيف في أنسجة الرئتين.
ويمكن الحصول على هذه الدلالات بصورة أدق وأفضل بمساعدة التصوير المقطعي للصدر.
وتحدث اضطرابات في وظيفة الرئتين، تنعكس بشكل خاص في انخفاض كمية الهواء في الرئتين وتأخير انتقال الأكسجين من الرئة إلى الدم.
ويمكن إجراء تنظير لقصبات الرئة بحيث يتم إدخال أنبوب دقيق ومرن إلى الشعب الهوائية وبمساعدته تؤخذ خزعة من أنسجة الرئة، كما يمكن سحب سوائل من الرئة وفحص محتوياتها.
علاج داء الساركويد
يستند داء الساركويد بالأساس على الامور التالية:
العلاج بالكورتيزون، وهو دواء مخفض للالتهاب لكنه فعال في تقليل حجم تجمع الخلايا وهو يعد العلاج الأساسي في حالات الساركويد.
الأدوية المهبطة للمناعة، وتوجد عدة أنواع من الأدوية التي تؤدي إلى تقليل حجم الجرانيلوما وعادة ما تكون بديله عن الكورتيزون ومن أهمها الميثوتركسيت والازاثيوبرين.
