الحمى الروماتيزمية.. اعراضها وعلاقتها بالتهاب اللوزتين
الحمى الروماتيزمية.. هي مرض التهابي يمكن أن يحدث عند عدم علاج التهاب الحلق العقدي أو الحمى القرمزية علاجًا صحيحًا، والتهاب الحلق العقدي والحمى القرمزية هما حالتان تسببهما عدوى بكتيريا المكورات العقدية.
الحمى الروماتيزمية
الحمى الروماتيزمية.. وتصيب الحمى الروماتيزمية في الأغلب الأطفال بين سن 5 و15 عامًا. وقد تصيب الأطفال الأصغر سنًا والبالغين أيضًا.
أعراض الحمى الروماتيزمية
وتشمل مؤشرات الحمى الروماتيزمية وأعراضها ما يلي:
- الحُمّى
- ألم في المفاصل وإيلام عند لمسها — يقعان أغلب الأحيان في الركبتين، والكاحلين، والمرفقين، والرسغين
- ألم في مفصل واحد ينتقل منه إلى مفصل آخر
- احمرار المفاصل أو سخونتها أو تورمها
- ألم الصدر
- الإرهاق
- طفحًا جلديًّا ذا حافة مجعدة، ويكون مسطحًا أو مرتفعًا قليلًا
- النفخة القلبية
- حركات جسدية مترنحة لا يمكن التحكم بها (رقص سيدنهام) تصيب اليدين والقدمين والوجه في أكثر الأحيان
- نوبات سلوكية غير معتادة، كالبكاء أو الضحك غير اللائقين، تصاحب حالة رقص سيدنهام
- نتوءات صغيرة غير مؤلمة تحت الجلد

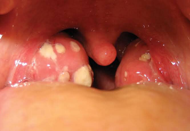
التهاب اللوزتين والحمى الروماتيزمية
اللوزتين جزء من الحلق والاثنين يلتهبان عند حدوث عدوى من مختلف الميكروبات من فيروسات وبكتيريا ومن أشهرهم بكتيريا الميكروب السبحي التي تتسبب في الحمى الروماتيزمية، والتأخير في علاج عدوى الميكروب السبحي وسوء استخدام المضادات الحيوية يؤدي إلى بقاء العدوى مدة طويلة بالمصاب وهذا هو ما يتسبب في نشوء الحمى في ٣% من الحالات.
ولا يصيب الميكروب السبحي اللوز فقط ولكن يصيب الحلق والجلد والمسالك البولية، والعدوى باللوز ليست الوحيدة التي تسبب الحمى ولكنها الأشهر نظرا لتكرارها وطول مدتها ان لم تعالج سريعا.
وتنشأ الحمى عندما تنتج مناعة المصاب اجسام مضادة لمحاربة الميكروب السبحي ولكن يحدث خلل مناعي فتهاجم المناعة جسم المصاب بدلا من الميكروب وتتسبب في التهابات بالقلب والمفاصل والاعصاب
وللوقاية من الحمى الروماتيزمية يجب تفادي العدوى عامة باتباع العادات الصحية مثل غسيل اليدين ونظافة الطعام وتهوية اماكن المعيشة، وسرعة علاج عدوى الحلق ومنع سوء استخدام المضادات.
