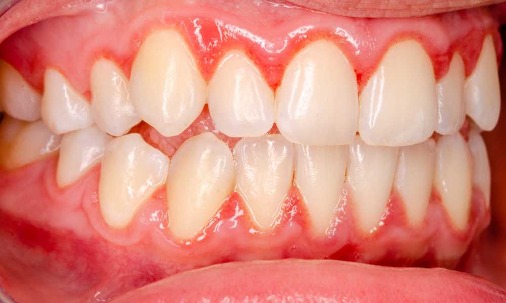
طريقة علاج التهاب اللثة
طريقة علاج التهاب اللثة.. التهاب اللثة هو حالة شائعة تصيب العديد من الأشخاص، وغالبًا ما تكون نتيجة لتراكم البلاك والبكتيريا على الأسنان.
طريقة علاج التهاب اللثة
وفي حال إهمال العلاج، قد يتطور التهاب اللثة إلى مشكلات أكثر خطورة مثل فقدان الأسنان، وفي هذا التقرير، نستعرض طرق علاجه والوقاية منه.
أسباب التهاب اللثة
يعد السبب الأساسي لالتهاب اللثة هو تراكم طبقة البلاك على الأسنان ومع مرور الوقت، يتصلب البلاك ليصبح جيرًا يصعب إزالته دون تدخل طبي.
و يؤدي عدم تنظيف الأسنان بالفرشاة أو خيط الأسنان إلى تراكم البكتيريا الضارة.
التدخين.
التغيرات الهرمونية أثناء الحمل أو انقطاع الطمث.
مرض السكري.
استخدام بعض الأدوية التي تقلل من إفراز اللعاب.
أعراض التهاب اللثة
وعن أعراض التهاب اللثة فهى تشمل التالى:
- احمرار اللثة وانتفاخها.
- نزيف اللثة عند تنظيف الأسنان.
- رائحة نفس كريهة مستمرة.
- ألم أو انزعاج أثناء المضغ.
- انحسار اللثة عن الأسنان في الحالات المتقدمة.
طرق علاج التهاب اللثة
وحول طرق علاج التهاب اللثة فهى تشمل التالى:
- استخدام فرشاة ناعمة ومعجون أسنان يحتوي على الفلورايد مرتين يوميًا.
- استخدام خيط الأسنان لإزالة البلاك من المناطق التي لا تصل إليها الفرشاة.
- المضمضة بالمطهرات الفموية التي تحتوي على مواد مضادة للبكتيريا.
- إزالة الجير باستخدام أدوات مخصصة لدى طبيب الأسنان.
- وصف مضادات حيوية في حال وجود عدوى شديدة.
- استخدام غسول فموي يحتوي على الكلورهيكسيدين لتقليل الالتهاب.
- وفي الحالات المتقدمة، قد يلجأ الطبيب إلى الجراحة لعلاج الجيوب العميقة الناتجة عن الالتهاب.

الوقاية من التهاب اللثة
وحول الوقاية من التهاب اللثة فهى تشمل التالى:
- الحفاظ على نظافة الفم يوميًا.
- زيارة طبيب الأسنان مرتين سنويًا لتنظيف الأسنان والكشف المبكر.
- تجنب التدخين.
- اتباع نظام غذائي صحي يحتوي على الفواكه والخضروات لتقوية اللثة.
جدير بالذكر ان التهاب اللثة يعد من الحالات التي يمكن الوقاية منها وعلاجها بسهولة عند اكتشافها مبكرًا والالتزام بالعناية اليومية بالفم وبالتالى فان الزيارات الدورية لطبيب الأسنان هو مفتاح الحفاظ على صحة الفم واللثة، ما ينعكس على الصحة العامة للجسم كله.
