تنظيف الأسنان من الجير في البيت بـ 8 خطوات تغنيك عن زيارة الطبيب
يرغب الكثيرون في معرفة طريقة تنظيف الأسنان من الجير في البيت، حيث يتراكم الجير بسبب عدم تنظيف الأسنان بانتظام، كما ينشأ من تناول الأطعمة والمشروبات السكرية التي يمكن أن تؤدي إلى تراكم البلاك، فضلا عن التدخين الذي يضعف اللثة ويجعلها أكثر عرضة لجير الأسنان، وبخلاف هذه العادات الحياتية الخاطئة، يمكن أن تؤدي بعض الحالات الطبية، مثل مرض السكري، إلى زيادة خطر الإصابة بجير الأسنان.
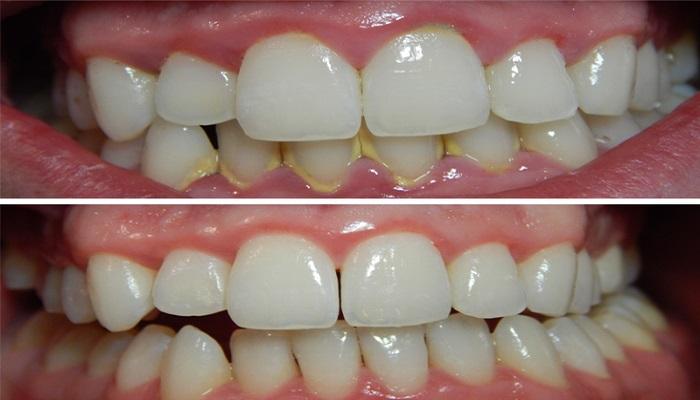
تنظيف الأسنان من الجير في البيت
لا يمكن تنظيف الأسنان من الجير في المنزل بشكل فعال، حيث أن الجير عبارة عن طبقة صلبة من البكتيريا وبقايا الطعام تتراكم على الأسنان، ولا يمكن إزالتها إلا باستخدام أدوات تنظيف متخصصة لدى طبيب الأسنان أو أخصائي صحة الفم.
ومع ذلك، هناك بعض الطرق التي يمكن أن تساعد في تقليل تراكم الجير، مثل:
- تنظيف الأسنان بالفرشاة مرتين يوميًا لمدة دقيقتين على الأقل، مع استخدام معجون أسنان يحتوي على الفلورايد.
- استخدام خيط تنظيف الأسنان مرة واحدة يوميًا لإزالة بقايا الطعام من بين الأسنان.
- زيارة طبيب الأسنان أو أخصائي صحة الفم لتنظيف الأسنان مرة كل ستة أشهر.
طرق تنظيف الأسنان من الجير في البيت
فيما يلي بعض الوصفات المنزلية التي قد تساعد في إزالة الجير بشكل طفيف، ولكن من المهم استشارة طبيب الأسنان قبل استخدام أي منها:
- صودا الخبز: تُمزج ملعقة صغيرة من صودا الخبز مع ملعقة صغيرة من الماء لتكوين عجينة، ثم تُفرك الأسنان بها لمدة دقيقة واحدة، ثم تُشطف جيدًا.
- خل التفاح: يُخلط نصف كوب من خل التفاح مع نصف كوب من الماء الدافئ، ثم يُستخدم كغسول للفم لمدة 30 ثانية، ثم يُشطف جيدًا.
- المضمضة بزيت جوز الهند: الأمر الذي من شأنه أن يساعد في التقليل من البكتيريا المتراكمة في الفم والتي تساهم في تكوين جير الأسنان، كما يمكن استخدام زيت الزيتون أو زيت اللوز أو زيت السمسم أيضًا.
- استخدام قشور البرتقال: حيث يتم فرك الأسنان واللثة بلطف بالجهة الداخلية من قشور البرتقال.
- مضغ بذور السمسم: قد يساعد في التخلص من مشكلة تراكم البلاك وجير الأسنان، لكن لا تقم ببلع هذه البذور أبدًا.
- استخدام فرشاة الأسنان الكهربائية: فهي فعالة أكثر في عملية التقليل من تراكم البلاك والجير على الأسنان.
- يجب ملاحظة أن هذه الوصفات المنزلية قد تسبب تآكل مينا الأسنان، لذلك يجب استخدامها بحذر.

إزالة جير الأسنان بالملح
لا يمكن إزالة جير الأسنان بالملح تمامًا، ولكن يمكن أن يساعد مضمضة الفم بالماء والملح في تقليل تراكم الجير ومنع تشكله، ويعمل مضمضة الفم بالماء والملح على تقليل التهاب اللثة، مما قد يساعد في منع تشكل الجير، كما أنه يساعد على إزالة البلاك والترسبات من الأسنان، مما قد يساعد في منع تشكل الجير في المستقبل.
لإزالة جير الأسنان بالملح، قم بما يلي:
- اخلط ملعقة صغيرة من الملح في كوب من الماء الدافئ.
- اشطف فمك بالمحلول لمدة 30 ثانية.
- اشطف فمك بالماء النظيف.
من المهم استخدام محلول الماء والملح المخفف لتجنب تلف مينا الأسنان، كما أنه من المهم عدم استخدام مضمضة الفم بالماء والملح أكثر من مرتين يوميًا.

إزالة جير الأسنان بزيت الزيتون
وجدت دراسة أجريت عام 2015 أن مضمضة الفم بزيت الزيتون لمدة 20 دقيقة يوميًا لمدة 6 أسابيع أدى إلى انخفاض ملحوظ في تراكم البلاك والتهاب اللثة، كما وجدت دراسة أخرى أجريت عام 2016 أن مضمضة الفم بزيت الزيتون لمدة 20 دقيقة يوميًا لمدة 3 أشهر أدى إلى انخفاض طفيف في تراكم الجير.
كما أظهرت الدراسات فوائد المضمضة بزيت الزيتون في تعزيز قوة وصحة اللثة والأسنان، والوقاية من تشكل جير الأسنان من خلال إزالة اللويحة السنية، وهي الطبقة الّتي يؤدي تراكمها إلى تشكل جير الأسنان.
وأخيرا ينبغي الاهتمام بإزالة جير الأسنان لأنها يتسبب في مضاعفات تضر بصحة الفم والأسنان كالتالي:
- التهاب اللثة: يمكن أن يؤدي جير الأسنان إلى التهاب اللثة، وهو حالة تتسبب في احمرار وتورم اللثة.
- أمراض اللثة: يمكن أن يؤدي جير الأسنان إلى مرض اللثة، وهو حالة أكثر خطورة يمكن أن تؤدي إلى فقدان الأسنان.
- التسوس: يمكن أن يؤدي جير الأسنان إلى التسوس، وهو حالة تتسبب في تلف مينا الأسنان.
