متلازمة سوساك.. ما هو الاعتلال الوعائي الشبكي القوقعي الدماغي؟
متلازمة سوساك.. أو ما تعرف بالاعتلال الوعائي الشبكي القوقعي الدماغي، هى عبارة عن اعتلال وعائي دقيق يتميز بحدوث اعتلال دماغي وانسداد في الشريان الشبكي، وصمم نتيجة قيام الجهاز المناعي بمهاجمة النسيج السليم وقد يؤدي ذلك إلى اضطرابات عقلية.
متلازمة سوساك
متلازمة سوساك وتم تسمية متلازمة سوساك نسبة إلى الطبيب جون سوساك الذي قام بوصفها لأول مرة عام 1975، حيث تُعد متلازمة سوساك حالة نادرة جدا ذات سبب غير معروف، ويعاني خلالها بعض المرضى من تغير في الشخصية غالبا مع القيام بتصرفات شاذة.
أعراض متلازمة سوساك
قد تتأثر القدرة على النطق في مرضى متلازمة سوساك ويعاني العديد منهم من صداعا وصداع نصفي شديد لايهدا على المسكنات، وضعف في النظر.
وفي بعض الحالات قد يصبح مرضى متلازمة سوساك تائهين ويعتقدون أنهم يعيشون مرة أخرى جزءا من ماضيهم الذي يتذكرونه، وطبقا لأحد الخبراء فإن وهم العيش في دولة أجنبية يحدث في " نسبة معقولة" من الحالات.
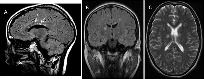
اكتشاف متلازمة سوساك
تم اكتشاف متلازمة سوساك وفقا لاشعة الرنين المغناطيسي على عينة من 15 مريضا، حيث كان هناك إصابات عديدة البؤر فوق الخيمة supratentorial، توجد في العديد من المرضى.

ومعظم الإصابات كانت صغيرة بمقياس يتراوح من 3 إلى 7 مم إلا أن بعضها كان أكبر من 7 مم.
وكان كل المرضى مصابين بإصابات في الجسم الثفني Corpus Callosum مع منظر مثقوب للخارج عند متابعة صورة الرنين المغناطيسي.
وتوجد الإصابات الثفنية في متلازمة سوساك بشكل مركزي. وبالمقارنة، فإن المرضى المصابين بالتصلب اللويحي والالتهاب الدماغي النخاعي المنتشر الحاد يملكون إصابات في السطح السفلي من الجسم الثفني.
وتحدث إصابة المادة الرمادية العميقة بشكل شائع في الالتهاب الدماغي النخاعي المنتشر الحاد (ADEM) إلا أنها نادرة جدا في التصلب اللويحي.
علاج متلازمة سوساك
لم يتم اثبات أي من العلاجات علميا فكل تلك العلاجات تجريبية، وبعض العلاجات لها آثار جانبية تفوق فائدتها وتتحسن العديد من حالات متلازمة سوساك دون علاج.
وهناك القليل من حالات اعتلال الشبكية المصاحب لمتلازمة سوساك يستجيب للعلاج بالأكسجين عالي الضغط مع تحسن ملحوظ في حدة البصر.
وهناك امكانية لارتداد المتلازمة لتحدث بعد 18 عاما وتتضمن أنظمة العلاجات المقترحة تجريبيا كل من الجلوبيولينات المناعية في الوريد والستيرويدات عالية الجرعة في الوريد.
