علاج التصبغات الجلدية العميقة.. التقشير الكيميائي والليزر قد يكونا حلا
علاج التصبغات الجلدية العميقة.. في حالة فرط التصبغ الخفيف، قد يصف الأطباء المستحضرات الموضعية، أما في حالة التصبغات الجلدية العميقة فعادةً ما لا تكون العلاجات الموضعية فعالة بالشكل الكافي.
علاج التصبغات الجلدية العميقة
علاج التصبغات الجلدية العميقة.. ومن أجل علاج التصبغات الجلدية العميقة قد يوصي طبيب الامراض الجليدة بالامرو التالية.
علاج التصبغات بالتقشير الكيميائي، وهو إجراء غير جراحي يُجرى في عيادة الامراض الجلدية من قبل الطبيب ويتضمن وضع محلول كيميائي على البشرة، يعمل هذا المحلول على تقشير الطبقة الخارجية من الجلد وزيادة إنتاج الكولاجين، لتبدو الطبقة الجديدة خالية من التصبغات ومتجانسة اللون وأكثر إشراقة، وقد تتسبب أحماض ألفا هيدروكسي في حدوث تهيج وتجعل البشرة أكثر حساسية للشمس، لذلك من المهم وضع واقِ الشمس بعد إجراء التقشير الكيميائي.
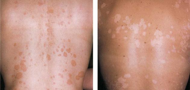
علاج التصبغات بالليزر، ويستخدم علاج التقشير بالليزر حزمًا مركزة من الضوء تمتصها الصبغة الزائدة في الجلد، ثم يتم تحويل الطاقة الضوئية إلى حرارة، والتي تقضي على فرط التصبغ وتحفز في الوقت نفسه إنتاج خلايا جلد جديدة وصحية، وهناك العديد من الأشكال المختلفة لفرط التصبغ، ويعتمد نوع الليزر المستخدم على نوع فرط التصبغ وكذلك لون بشرة المريض.

وهناك نوعان من الليزر الأول هو الليزر الاستئصالي، وهو الأكثر قوة، وهو يتضمن إزالة الطبقة الخارجية من الجلد، ما يساعد على ظهور طبقة جديدة خالية من التصبغات.
والنوع الثاني هو الليزر غير الاستئصالي ويستهدف طبقة الأدمة لتعزيز نمو الكولاجين ما يجعل البشرة أكثر نضارة ومشدودة.
وعادةً يوصي طبيب الامراض الجلدية بالليزر الاستئصالي لعلاج تصبغات الظهر على الرغم من أنه قد يصاحبه آثار تعتبر الليزر غير الاستئصالي أقل في الاثار الجانبية بالمقارنة لكنه قد يعطي نتائج أقل فاعلية فيما يخص تصبغات الجلد.
أفضل مستحضر لعلاج تصبغات الظهر
قد يصف أطباء الأمراض الجلدية مستحضرات موضعية للتصبغات الخفيفة، والتي إما تعمل على تقليل إنتاج صبغة الميلانين أو تقشير الجلد أو كليهما، وعادةً يصف الطبيب أحد المستحضرات التالية لعلاج تصبغات الظهر والجلد وهى:
الهيدروكينون، حيث يعد من أكثر المستحضرات الموضعية الموصوفة التي تعمل على تقليل فرط التصبغ، ومع ذلك، لا يمكن استخدامه إلا لفترات محدودة من الوقت لأنه، مثل الأشكال الأخرى للتقشير الكيميائي والعلاج بالليزر يمكن أن يسبب تهيج الجلد ويسبب بالفعل فرط تصبغ ما بعد الالتهاب.
الرتينويدات، وهى مشتقات فيتامين أ. وكل من الريتينويد الموضعي والهيدروكينون فعالان ولكنهما يعملان تدريجيًا على مدار فترة زمنية لإظهار نتائج ملحوظة لعلاج فرط التصبغ.
ويعتمد ذلك على شدة تصبغ الجلد وكذلك الجرعة التي يصفها الطبيب.
ولا يمكن استخدام كريمات الريتينويد من قبل النساء الحوامل والمرضعات، كما أنها تسبب مجموعة من الآثار الضارة إذا لم يتم استخدامها بشكل صحيح.
حمض الأزيليك، وهو مادة تساعد على إزالة التصبغ وعادةً ما يوصي به الطبيب إذا كان سبب فرط التصبغ بسبب الالتهاب وحب الشباب الشديد، وهو علاج آمن.
